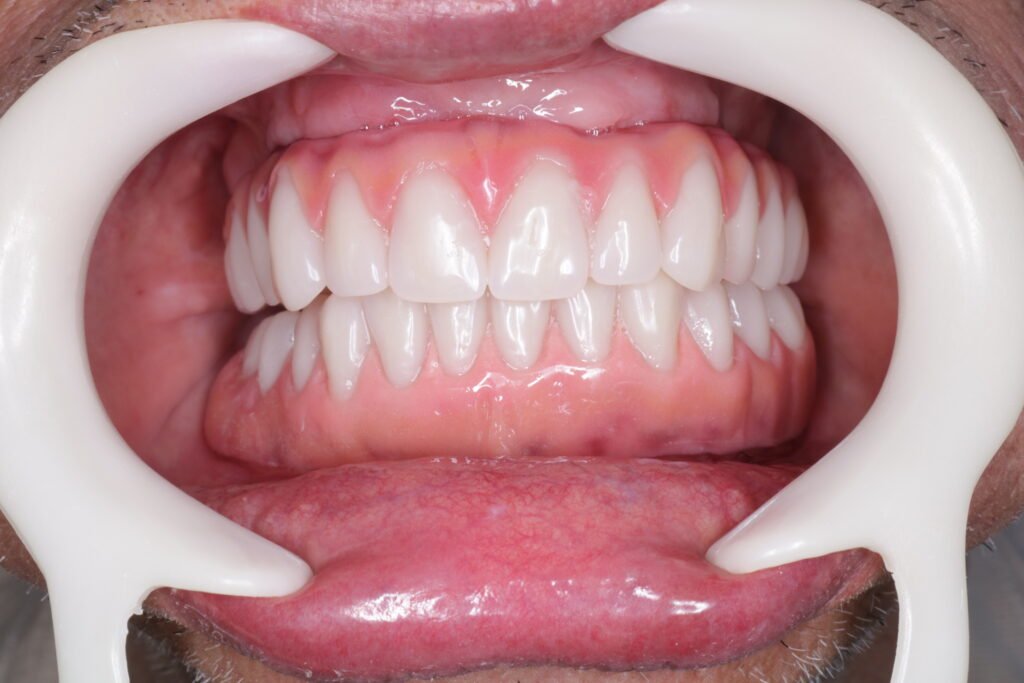
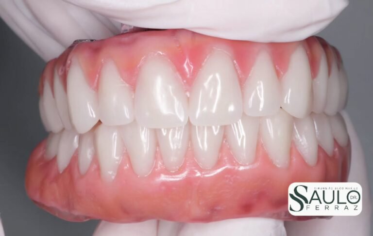
Dr. Saulo Renato Ferraz (CRO-DF 11820) é Cirurgião Bucomaxilofacial com sólida formação acadêmica pela Universidade Federal dos Vales do Jequitinhonha e Mucuri (UFVJM), em Diamantina – MG. É especialista em Cirurgia e Traumatologia Bucomaxilofacial pelo Hospital Regional de Cotia (SP), com especialização em Cirurgia Ortognática pelo Instituto Odontoacademy (Bauru/SP) e em Disfunções Temporomandibulares e Dor Orofacial pelo Hospital Mater Dei (Belo Horizonte/MG). Possui ainda pós-graduação em Cirurgias Avançadas para Implantes Dentários pela ABO – Juiz de Fora (MG) e pós-graduação em Implantes Zigomáticos e Reabilitação de Maxilares Atróficos pela Facop – Bauru (SP), com formação realizada com o Dr. Reginaldo Miglioranza, criador da técnica exteriorizada. Atua com ampla experiência em reabilitação de maxilas atróficas através de implantes zigomáticos, cirurgia ortognática e planejamento virtual, unindo precisão técnica, inovação digital e foco na restauração funcional e estética da face. Possui artigos publicados em revistas científicas e trabalhos apresentados em congressos nacionais, consolidando sua trajetória de excelência na Cirurgia e Traumatologia Bucomaxilofacial.




